이틀 만에 치아 넣어준다는 글 보고 왔어요








안녕하세요.

최소한의 통증으로

치아에 아름다움을 더하는 곳


수완 스타 치과

이승훈 원장입니다.






 

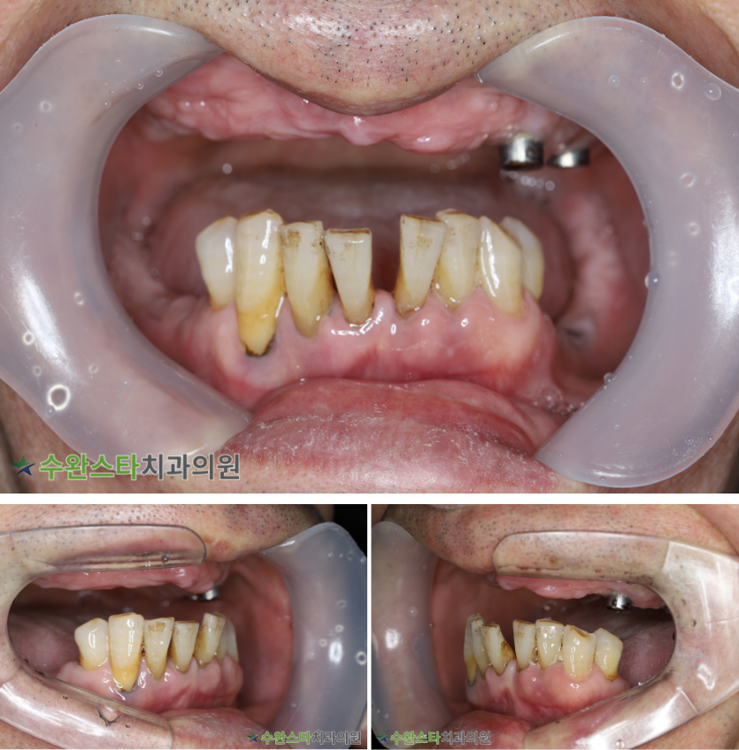
수술 전 / 수술 후 2일 경과, 60대 남성 (2025. 12 촬영)
수술 전 / 수술 후 2일 경과, 60대 남성 (2025. 12 촬영)





오늘 소개해 드릴 환자분은

틀니를 사용하시다


임플란트로 바꾸기 위해

내원해 주신

60대 남성 환자분입니다.






 

내원 시 상태

처음 내원 시 구강 내부 사진, 60대 남성 (2025. 12 촬영)
처음 내원 시 구강 내부 사진, 60대 남성 (2025. 12 촬영)





내원 시 환자분의 

구강 내부 사진입니다.


 틀니를 사용하신지

오래되었다고 합니다.

 





내원 시 파노라마

처음 내원 시 파노라마, 60대 남성 (2025. 12 촬영)
처음 내원 시 파노라마, 60대 남성 (2025. 12 촬영)






내원 시 파노라마 사진입니다.



자연치아가 있는 부분 이외의

잇몸뼈가 많이 녹아내린

상태입니다.



이전에 심은

임플란트를 제거 후

 뼈 이식과  임플란트 식립을 

진행하기로 했습니다.



치료 기간 동안 환자분의

불편함을 최소화하기 위해



뼈 이식 +  임플란트

한 번의 수술로 진행하기로 하였습니다.








수술 2일 후 임시치아 사진

수술 2일 후 임시치아, 60대 남성 (2025. 12 촬영)
수술 2일 후 임시치아, 60대 남성 (2025. 12 촬영)





임플란트 수술 후,

일상생활에 불편함이 없도록



수술 후 2일 만에

실도 빼기 전에

임시치아를 넣어드렸습니다.



임시치아로

저작기능과 심미성을 확보하여

사회생활에서도 문제없이

생활하실 수 있도록 도와드렸습니다.






 

구강 내부 전후 비교

수술 전 / 수술 후 2일 구강 내부, 60대 남성 (2025. 12 촬영)
수술 전 / 수술 후 2일 구강 내부, 60대 남성 (2025. 12 촬영)





위 환자분의 경우

뼈 재생에 6개월,

임플란트와 뼈가 결합되는데

4-5개월이 필요하므로

총 11개월 동안

식사가 어려울 수 있습니다.


이 기간 동안

원활한 식사와

사회생활을 위해

치아 역할을 할 

무언가가 필요합니다.


간단한 해결책으로는

치료 기간 동안 임시 틀니를

사용하는 것인데


많은 환자분들이

임시 틀니 사용 시

불편함을 호소해왔습니다.


이러한 문제를 해결하기 위해

저희 수완 스타 치과는

불편한 임시 틀니 없이도

환자분이 편안하게 식사하고

사회생활을 할 수 있도록



수술 후 2일 만에

실도 빼기 전에

임시치아를 넣어드리고 있습니다.

 





수술 전 / 수술 후 2일 경과, 60대 남성 (2025. 12 촬영)
수술 전 / 수술 후 2일 경과, 60대 남성 (2025. 12 촬영)




환자분께서





"틀니 사용할 때는

잇몸도 불편하고 식사도

어려웠는데 


수술도 빨리 끝나고

이틀 만에 임시치아로 

먹고 싶었던 것들

마음껏 먹고 있어요"





라며 감사의 말씀을 전해주셨습니다.


저희 의료진을 믿고 

치료를 결정해 주셔서 감사합니다.


저희 수완스타치과는

환자분들의 불편함을

최소화하기 위해

항상 노력하고 있습니다.


많은 경험을 쌓은 의료진들이

과잉진료 없이 정직하게

진료하는 곳입니다.


치아에 대한 고민이 있거나 

궁금하신 점이 있다면

언제든지 문의하세요.

 

긴 글 읽어주셔서 감사합니다.





 




전후 동일 인물이며,

2025년 12월 경에 본원에서 

치료받은 환자분입니다.




카카오톡 채널 채팅하기 버튼