신경치료 / 치근단 절제술 치료사례
안녕하세요.
수완스타치과의원
원장 이승훈입니다.
오늘의 수술 사례는
신경치료 및 치근단 절제술입니다.
30대 남성 환자분께서
전치부(앞니)쪽
치근단 농양이 확인되어
신경치료 후 치근단 절제술을
진행하였습니다.
먼저 치근단 절제술(apicoectomy)이란 무엇일까요?
치근단은 치아 뿌리 끝을 말하며
치근단 절제술은 치아 뿌리 끝에 있는
치조골 주위의 염증조직을
치아뿌리 끝부분과 함께
잘라내는 수술입니다.

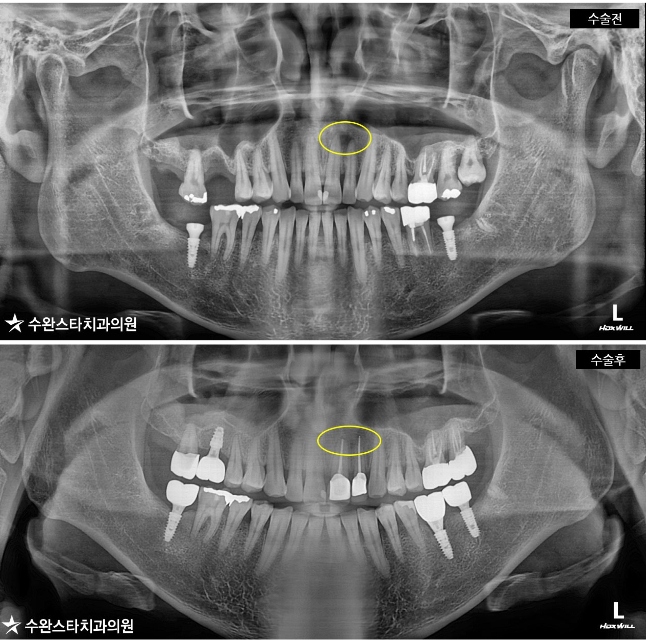
수술 전 파노라마, 30대 남성 (2019/8월 촬영)
표시된 까만 부분이
바로 염증으로 뼈가 녹은 부분인데
해당 부위는 신경과 혈관이
많이 분포한 부위입니다.
때문에 신경이 죽어서
치아 뿌리 끝에
염증으로 뼈가 녹은 경우로
잇몸이 붓는 현상과
통증을 일으키게 되는데요.
이대로 방치하면
주변 뼈까지 서서히 녹기 시작해
나중에는 발치를 하게 될 수 있으니
치료를 하시는 게 좋습니다.
발치 없이 최대한
자연치아를 보존하는 방향으로
치근단 절제술을 통해
염증치료를 진행하였습니다.

수술 전 CT, 30대 남성 (2019/8월 촬영)
CT 상에서도 확인해 보면
표시된 까만 부분들이 보이죠.
뿌리 끝에 세균으로 인하여
염증이 생긴 모습입니다.

염증조직 제거, 30대 남성 (2019/8월 촬영)
수술에 들어가기 전
제일 먼저 마취 후 잇몸을 절개하고
오염된 치조골을 포함한
염증조직을 제거합니다.
이후 신경치료를 통하여
신경관 내의 오염물질을
깨끗이 제거, 소독한 후에
신경관을 충전하고 나서
뿌리의 끝을 절단하게 됩니다.

뼈 이식재 삽입, 30대 남성 (2019/8월 촬영)
이후에 손실된 뼈 부위에는
치조골 이식술(뼈 이식재 삽입)까지 한 후
마무리하였습니다.

수술 후 CT, 30대 남성 (2019/8월 촬영)
수술 후 파노라마, 30대 남성 (2019/8월 촬영)
수술 후 1년 정도의 회복 기간을 거치고
CT를 다시 찍어보니
치근 주변 골이 다시 차올라
표시된 부분이 깨끗해진 걸
볼 수 있습니다.
수술 전과 후를
자세히 비교해 보겠습니다.

CT 전후 비교, 30대 남성 (2019/8월 촬영)

CT 전후 비교, 30대 남성 (2019/8월 촬영)
여러각도에서 전과 후를 비교해보니
확연하게 차이가 보이네요.

파노라마 전후 비교, 30대 남성 (2019/8월 ~ 2020/8월 촬영)
수술 후 1년 정도 경과를
비교해보니 깨끗해졌네요.
결과가 좋아진 모습을 보니 뿌듯합니다.
환자의 자연치아를 살리는 수술은
발치하고 임플란트를 하는 것 보다
더 복잡하긴 하지만,
환자분이 좋아하는 모습을 보면서
상당한 보람을 느끼게 되는 것 같습니다 .
치근단 절제술은 복용 약물,
치주 상태, 수술의 접근성,
치아의 기능성 등을 고려하여
충분한 상담을 통해 치료 계획을 세우고
수술을 진행하고 있습니다.
수술 이후에도
지속적인 경과 관찰을 통해
다시 문제가 일어나지 않도록
확인하고 있습니다.
<치근단 절제술 후 주의사항>
1. 수술 후 나오는 피와 침은
모두 삼켜주세요.
2. 수술 부위는 혀나 손으로
건드시면 안 됩니다.
3. 술, 담배는 2주간은 피해주세요.
4. 자극적이고 질긴
딱딱한 음식물 섭취를 지양해 주세요.
5. 칫솔이 봉합 부위에
자극을 주지 않도록 해주세요.
6. 약은 처방받은 대로 잘 복용해 주세요.
전후 동일 인물이며,
2019년 8월 경에 본원에서
치료받은 환자분입니다.

안녕하세요.
수완스타치과의원
원장 이승훈입니다.
오늘의 수술 사례는
신경치료 및 치근단 절제술입니다.
30대 남성 환자분께서
전치부(앞니)쪽 치근단 농양이 확인되어
신경치료 후 치근단 절제술을 진행하였습니다.
먼저 치근단 절제술(apicoectomy)이란 무엇일까요?
치근단은 치아 뿌리 끝을 말하며
치근단 절제술은 치아 뿌리 끝에 있는
치조골 주위의 염증조직을
치아뿌리 끝부분과 함께 잘라내는 수술입니다.

수술 전 파노라마, 30대 남성 (2019/8월 촬영)
표시된 까만 부분이
바로 염증으로 뼈가 녹은 부분인데
해당 부위는 신경과 혈관이
많이 분포한 부위입니다.
때문에 신경이 죽어서
치아 뿌리 끝에
염증으로 뼈가 녹은 경우로
잇몸이 붓는 현상과
통증을 일으키게 되는데요.
이대로 방치하면
주변 뼈까지 서서히 녹기 시작해
나중에는 발치를 하게 될 수 있으니
치료를 하시는 게 좋습니다.
발치 없이 최대한
자연치아를 보존하는 방향으로
치근단 절제술을 통해
염증치료를 진행하였습니다.

수술 전 CT, 30대 남성 (2019/8월 촬영)
CT 상에서도 확인해 보면
표시된 까만 부분들이 보이죠.
뿌리 끝에 세균으로 인하여
염증이 생긴 모습입니다.

염증조직 제거, 30대 남성 (2019/8월 촬영)
수술에 들어가기 전
제일 먼저 마취 후 잇몸을 절개하고
오염된 치조골을 포함한 염증조직을 제거합니다.
이후 신경치료를 통하여
신경관 내의 오염물질을 깨끗이 제거, 소독한 후에
신경관을 충전하고 나서 뿌리의 끝을 절단하게 됩니다.

뼈 이식재 삽입, 30대 남성 (2019/8월 촬영)
이후에 손실된 뼈 부위에는
치조골 이식술(뼈 이식재 삽입)까지 한 후
마무리하였습니다.

수술 후 CT, 30대 남성 (2019/8월 촬영)
수술 후 파노라마, 30대 남성 (2019/8월 촬영)
수술 후 1년 정도의 회복 기간을 거치고
CT를 다시 찍어보니
치근 주변 골이 다시 차올라
표시된 부분이 깨끗해진 걸 볼 수 있습니다.
수술 전과 후를 자세히 비교해 보겠습니다.

CT 전후 비교, 30대 남성 (2019/8월 촬영)

CT 전후 비교, 30대 남성 (2019/8월 촬영)
여러각도에서 전과 후를 비교해보니
확연하게 차이가 보이네요.

파노라마 전후 비교, 30대 남성 (2019/8월 ~ 2020/8월 촬영)
수술 후 1년 정도 경과 후 비교를 해보니 깨끗해졌네요.
결과가 좋아진 모습을 보니 뿌듯합니다.
환자의 자연치아를 살리는 수술은
발치하고 임플란트를 하는 것 보다 더 복잡하긴 하지만,
환자분이 좋아하는 모습을 보면서
상당한 보람을 느끼게 되는 것 같습니다 .
치근단 절제술은 복용 약물, 치주 상태,
수술의 접근성, 치아의 기능성 등을 고려하여
충분한 상담을 통해 치료 계획을 세우고
수술을 진행하고 있습니다.
수술 이후에도 지속적인 경과 관찰을 통해
다시 문제가 일어나지 않도록 확인하고 있습니다.
<치근단 절제술 후 주의사항>
1. 수술 후 나오는 피와 침은 모두 삼켜주세요.
2. 수술 부위는 혀나 손으로 건드시면 안 됩니다.
3. 술, 담배는 2주간은 피해주세요.
4. 자극적이고 질긴 딱딱한 음식물 섭취를 지양해 주세요.
5. 칫솔이 봉합 부위에 자극을 주지 않도록 해주세요.
6. 약은 처방받은 대로 잘 복용해 주세요.
전후 동일 인물이며,
2019년 8월 경에 본원에서
치료받은 환자분입니다.
