안 아픈 임플란트 수술
안녕하세요.
수완스타치과 의원 이승훈 원장입니다.
안아픈게 최고라고 하셨던 주*ㅅ 환자분,
오늘 임플란트 1차 수술
잘 마무리하셨습니다.
시간은 10분 정도 소요되었고,
뼈이식을 동반한 임플란트 수술이
이상 없이 잘 진행되었습니다.

3D CT 분석 사진, 60대 남성 (2023.07)

임플란트 식립 술전 사진, 60대 남성 (2023.07)
수술 전에는 항상
3D CT 영상 촬영을 통해
3차원적인 뼈의 공간을
충분히 파악한 후에
술전에 계획된 대로 진행하고 있습니다.
임플란트는 아주 좋은 방향으로
좋은 고정을 나타내며 식립되었습니다.
환자분 흡연을 가끔 하긴 하시지만,
당뇨병은 없으시기 때문에
한번에 뼈와 임플란트가
잘 유착되길 기대해봅니다^^
안아픈게 최고라고 하셨던
주*ㅅ 님이셔서,
정말 더 안 아프게 마취할려고
최선을 다했지만
환자분이 꿈틀꿈틀 하시는 게
조금 아프셨구나 하는 걸 느꼈지만,,
그래도 안 아프셨다고
체크해주셔서
조금은 인정받았구나 하는 뿌듯함과
감사와 죄송한 마음이 동시에 들었습니다.
다음에는 더 안 아픈 치과가 되기 위해
더욱 노력하겠습니다~!^^

마취 통증 정도 체크, 60대 남성 (2023.07)
전후 동일 인물이며,
2024년 12월 경에 본원에서
치료받은 환자분입니다.

안녕하세요.
수완스타치과 의원 이승훈 원장입니다.
안아픈게 최고라고 하셨던 주*ㅅ 환자분,
오늘 임플란트 1차 수술 잘 마무리하셨습니다.
시간은 10분 정도 소요되었고, 뼈이식을 동반한 임플란트 수술이
이상 없이 잘 진행되었습니다.
수술 전에는 항상 3D CT 영상 촬영을 통해
3차원적인 뼈의 공간을 충분히 파악한 후에
술전에 계획된 대로 진행하고 있습니다.

3D CT 분석 사진, 60대 남성 (2023.07)
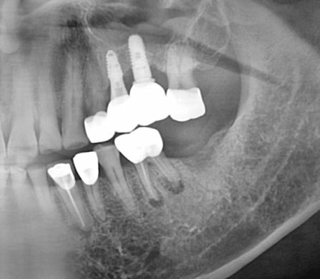
임플란트 식립 술전, 술후 사진, 60대 남성 (2023.07)
임플란트는 아주 좋은 방향으로
좋은 고정을 나타내며 식립되었습니다.
환자분 흡연을 가끔 하긴 하시지만, 당뇨병은 없으시기 때문에
한번에 뼈와 임플란트가 잘 유착되길 기대해봅니다^^
안아픈게 최고라고 하셨던 주*ㅅ 님이셔서,
정말 더 안아프게 마취할려고 최선을 다했지만
환자분이 꿈틀꿈틀 하시는게 조금 아프셨구나 하는걸 느꼈지만,,
그래도 안아프셨다고
체크해주셔서 조금은 인정받았구나 하는 뿌듯함과
감사와 죄송한 마음이 동시에 들었습니다.
다음에는 더 안아픈 치과가 되기 위해
더욱 노력하겠습니다~!^^

마취 통증 정도 체크, 60대 남성 (2023.07)
전후 동일 인물이며,
2024년 12월 경에 본원에서
치료받은 환자분입니다.
