당뇨, 발치 후 전체 임플란트 / 상악동 거상술 치조정[수직] 접근법
당뇨, 발치 후 전체 임플란트
/ 상악동 거상술 치조정[수직]접근법
안녕하세요^^
최소한의 통증으로
치아에 아름다움을 더하는 곳
수완스타★치과의원입니다.
오늘 치료 사례 포스팅은
전체 임플란트입니다.
"충치가 심하고
치아가 많이 흔들려요.
다른 곳에선 당뇨가 심해서
발치도 안된다 하고
임플란트도 어렵다고 했어요."
라는 주소로 50대 남성분께서
방문해 주셨습니다.
당뇨가 있는 환자분들께서는
일반인에 비해 잇몸뼈도 약하고
발치 후 감염의 우려가 있어서
임플란트가
어려운 경우가 있습니다.
하지만 많은 경험과 노하우로
모든 절차가 적절하게 이루어진다면
발치와 임플란트 모두 가능합니다.
수술 전에 현재 드시고 계신 약이나
세부적인 상황을 말씀해 주셔야
좀 더 안전한 수술이 가능해집니다.
저희 치과에서도 예진 시에
꼼꼼하게 체크하는 부분입니다. ^_^
당뇨, 발치 후 임플란트

▲ 내원 시 구강 내부, 50대 남성(2023/11)

▲ 내원 시 파노라마, 50대 남성(2023/11)
세심하고 정확하게 확인하기 위해
파노라마와 3D CT
구강 내 사진을 통해
치료 계획을 세웠습니다.
구상 상태를 보면
전체적으로 잇몸이
많이 약해져있는데요.
충치도 심하고
치아도 많이
파절되어 있는 모습입니다
살릴 수 있을만한 치아도
발치하고 임플란트로 하기를 원하셨지만,
아무리 좋은 임플란트라 해도
자연치아를 살리는 게
가장 좋기 때문에
살릴 수 있는 치아는
살리는 쪽으로 말씀 드렸습니다!


▲ 내원 시 구강 내부, 50대 남성(2023/11)
▲ 내원 시 CT 사진, 50대 남성(2023/11)
치아 뿌리 주변으로
까맣게 보이는 게 염증입니다.

▲ 발치한 치아, 50대 남성(2023/11)
살릴 수 있는 치아 10개를 제외하고
발치한 치아들입니다.
작은 조각들은 파절된 치아들이고
치아 부분에 검정 부분은 치석으로
뿌리 끝 염증이 심한 상태였습니다.
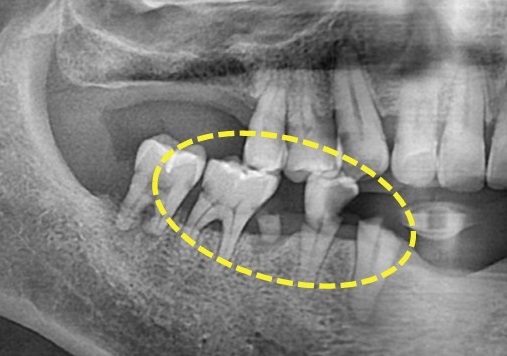
상악동 거상술 치조정(수직) 접근법

▲ 내원 시 파노라마, 50대 남성(2023/11)
임플란트 진행 후
촬영한 파노라마입니다.
하악, 뼈가 너무 안좋은 부위는
뼈이식만 진행하였으며
뼈가 어느정도 있는 부위는
치아를 발치하면서
임플란트를 동시에 심고
뼈 이식까지 함께 진행했습니다.
상악 부위는 잇몸뼈가 많이 부족해
상악동 거상술과
뼈이식을 동시에 진행했습니다.
상악동 거상술 및 뼈이식에 대하여
자세한 포스팅을 보고 싶다면
기타 수술 사례의
"치주염, 발치 후 임플란트
/ 상악동거상술(측방접근법)"을
참고해 주세요.
치료 과정 자세히 보기
하악 5개 임플란트는
임시치아를 위해 기둥까지 올려놓았고
상악 1개, 하악 1개에 식립한 임플란트는
잇몸뼈가 약한 상태라
기둥까지는 올리지 않고
잇몸 속에 묻어둔 상태입니다.
보통 이런 경우에는
임시틀니를 최소 4-5개월 정도
쓰셔야 하는데
이 기간 동안도
불편한 임시틀니를 쓰지 않고
식사를 잘 하실 수 있도록 해드리기 위해서
정확하게 임플란트를 식립하고
기둥까지 올려서
임시치아를 올려드렸습니다.

▲ 수술 전 파노라마, 50대 남성(2023/11)
상악은 뿌리 끝 염증이 심했던
기존 치아 발치 후
첫번째 치료와 동일하게
상악동 거상술 및 뼈이식 후
임플란트 2개를 식립했습니다.
남아있는 뼈가
임플란트를 잡고 있을 수 있어
상악동거상술과 뼈이식을 하면서
임플란트를 동시에 식립하였습니다.
상악은 뼈가 너무 약하고
임플란트 들어간 갯수가 적기 때문에
임시치아를 바로 진행하기는
어려웠습니다.

▲ 수술 전 파노라마, 50대 남성(2023/11)
아래치아는 심한 우식으로
파절된 치아가 많았습니다.
발치 후 바로 임플란트 식립을
진행했습니다.

▲ 수술 전 파노라마, 50대 남성(2023/11)
반대쪽도 마찬가지로
파절된 치아로 발치가 필요했습니다.
파절된 치아를 꽤 오래 방치해두어
뿌리끝 쪽이 많이 상해서
잇몸뼈가 많이 내려간 상태였습니다.
이럴 경우엔 뼈이식이 필요한데
뼈이식과 임플란트 식립을
같이하는 사례가 있고,
뼈가 많이 부족할 경우
뼈이식만 진행하는 사례가 있습니다.
이 분은 후자의 상황이라
우선 한 곳은 뼈 이식만 진행했습니다.
당뇨 임플란트 임시치아
▲ 임시치아 올리기 전, 50대 남성(2023/11)

전체 발치가 들어간 이후에는
대부분의 경우 임시틀니를
몇 달 동안 사용하셔야 하지만
저희 치과에서는
많은 케이스와 노하우 및
원내 기공소와의 원활한 협업을 통해서
틀니를 쓰지 않고
바로 편안한 임시치아를 써서
식사를 잘 하실 수 있도록
해드리고 있습니다.
하악 같은 경우는 혀가 움직이기 때문에
임시틀니를 쓰시면
정말 불편할 뿐더러
식사도 하기 어려우신데
임시치아로 들어가시면
치료하는 기간 동안에도
식사하시기 아주 편합니다!
임시치아의 색상이나 모양은
다소 투박하지만
이것은 최종 보철물이 들어가기 전
임시로 사용하기 때문에
최종보철물이 들어가면
모양과 색상도
훨씬 더 아름답게 들어갑니다!
나중에 최종 보철물이 들어가면
다시 포스팅 하도록 하겠습니다.
임시치아 전후 비교, 50대 남성(2023/11)
아직 진행 중이긴 하지만
전후 사진을 나란히 놓고 보니
심혈을 기울여 열심히 치료한
보람을 느낍니다.
수술 후 2주 경과

수술 후 2주 경과, 50대 남성(2023/11)
당뇨 때문에
쉽게 치과치료를 하지 못하셨던 분들이
많으실 것 같아
오늘 치료 사례로 가져오게 되었습니다.
보철치료까지 완료가 되면
이어서 포스팅을 진행해 보겠습니다.
이상으로
당뇨로 인한 치아 상실, 임플란트,
상악동 거상술, 즉시 임시치아
수술 사례였습니다.
- 상세 치료 내역 -
전악 스케일링(치주)
치아 발치
뼈 이식
상악동 거상술 치조정접근법
임플란트식립
전, 후 동일 인물이며
2023년 11월~12월경
치료받으신 환자분입니다.

안녕하세요^^
최소한의 통증으로
치아에 아름다움을 더하는 곳
수완스타★치과의원입니다.
오늘 치료 사례 포스팅은
전체 임플란트입니다.
"충치가 심하고
치아가 많이 흔들려요.
다른 곳에선 당뇨가 심해서
발치도 안된다 하고
임플란트도 어렵다고 했어요."
라는 주소로 50대 남성분께서
방문해 주셨습니다.
당뇨가 있는 환자분들께서는
일반인에 비해 잇몸뼈도 약하고
발치 후 감염의 우려가 있어서
임플란트가
어려운 경우가 있습니다.
하지만 많은 경험과 노하우로
모든 절차가 적절하게 이루어진다면
발치와 임플란트 모두 가능합니다.
수술 전에 현재 드시고 계신 약이나
세부적인 상황을 말씀해 주셔야
좀 더 안전한 수술이 가능해집니다.
저희 치과에서도 예진 시에
꼼꼼하게 체크하는 부분입니다. ^_^
당뇨, 발치 후 임플란트

▲ 내원 시 구강 내부, 50대 남성(2023/11)

▲ 내원 시 파노라마, 50대 남성(2023/11)
세심하고 정확하게 확인하기 위해
파노라마와 3D CT
구강 내 사진을 통해
치료 계획을 세웠습니다.
구상 상태를 보면
전체적으로 잇몸이 많이 약해져있는데요.
충치도 심하고
치아도 많이 파절되어 있는 모습입니다
살릴 수 있을만한 치아도
발치하고 임플란트로 하기를 원하셨지만,
아무리 좋은 임플란트라 해도
자연치아를 살리는 게 가장 좋기 때문에
살릴 수 있는 치아는 살리는 쪽으로 말씀을 드렸습니다!


▲ 내원 시 구강 내부, 50대 남성(2023/11)
▲ 내원 시 CT 사진, 50대 남성(2023/11)
치아 뿌리 주변으로
까맣게 보이는 게 염증입니다.

▲ 발치한 치아, 50대 남성(2023/11)
살릴 수 있는 치아 10개를 제외하고
발치한 치아들입니다.
작은 조각들은 파절된 치아들이고
치아 부분에 검정 부분은 치석으로
뿌리 끝 염증이 심한 상태였습니다.
상악동 거상술 치조정(수직) 접근법

▲ 내원 시 파노라마, 50대 남성(2023/11)
하악, 뼈가 너무 안좋은 부위는
발치 후 뼈이식만 진행하였으며
뼈가 어느정도 있는 부위는
치아를 발치하면서 임플란트를 동시에 심고
뼈 이식까지 함께 진행했습니다.
상악 부위는 잇몸뼈가 많이 부족해
상악동 거상술과
뼈이식을 동시에 진행했습니다.
상악동 거상술 및 뼈이식에 대하여
자세한 포스팅을 보고 싶다면
기타 수술 사례의
"치주염, 발치 후 임플란트
/ 상악동거상술(측방접근법)"을
참고해 주세요.
치료 과정 자세히 보기
하악 5개 임플란트는
임시치아를 위해 기둥까지 올려놓았고
상악 1개, 하악 1개에 식립한 임플란트는
잇몸뼈가 약한 상태라
기둥까지는 올리지 않고
잇몸 속에 묻어둔 상태입니다.
보통 이런 경우에는
임시틀니를 최소 4-5개월 정도 쓰셔야 하는데
이 기간 동안도 불편한 임시틀니를 쓰지 않고
식사를 잘 하실수 있도록 해드리기 위해서
정확하게 임플란트를 식립하고 기둥까지 올려서
임시치아를 올려드렸습니다.

▲ 수술 전 파노라마, 50대 남성(2023/11)
상악은 뿌리 끝 염증이 심했던
기존 치아 발치 후
첫번째 치료와 동일하게
상악동 거상술 및 뼈이식 후
임플란트 2개를 식립했습니다.
남아있는 뼈가 임플란트를 잡고 있을 수 있어
상악동거상술과 뼈이식을 하면서
임플란트를 동시에 식립하였습니다.
상악은 뼈가 너무 약하고
임플란트 들어간 갯수가 적기 때문에
임시치아를 바로 진행하기는 어려웠습니다.

▲ 수술 전 파노라마, 50대 남성(2023/11)
아래치아는 심한 우식으로
파절된 치아가 많았습니다.
발치 후 바로 임플란트 식립을 진행했습니다.

▲ 수술 전 파노라마, 50대 남성(2023/11)
반대쪽도 마찬가지로
파절된 치아로 발치가 필요했습니다.
파절된 치아를 꽤 오래 방치해두어
뿌리끝 쪽이 많이 상해서
잇몸뼈가 많이 내려간 상태였습니다.
이럴 경우엔 뼈이식이 필요한데
뼈이식과 임플란트 식립을 같이하는 사례가 있고,
뼈가 많이 부족할 경우
뼈이식만 진행하는 사례가 있습니다.
이 분은 후자의 상황이라
우선 한 곳은 뼈 이식만 진행했습니다.
당뇨 임플란트 임시치아
▲ 임시치아 올리기 전, 50대 남성(2023/11)

전체 발치가 들어간 이후에는
대부분의 경우 임시틀니를
몇 달 동안 사용하셔야 하지만
저희 치과에서는
많은 케이스와 노하우 및
원내 기공소와의 원활한 협업을 통해서
틀니를 쓰지 않고
바로
편안한 임시치아를 써서
식사를 잘 하실 수 있도록
해드리고 있습니다.
하악 같은 경우는 혀가 움직이기 때문에
임시틀니를 쓰시면
정말 불편할 뿐더러
식사도 하기 어려우신데
임시치아로 들어가시면
치료하는 기간 동안에도
식사하시기 아주 편합니다!
임시치아의 색상이나 모양은 다소 투박하지만
이것은 최종 보철물이 들어가기 전
임시로 사용하기 때문에
최종보철물이 들어가면
모양과 색상도
훨씬 더 아름답게 들어갑니다!
나중에 최종 보철물이 들어가면
다시 포스팅 하도록 하겠습니다.
임시치아 전후 비교, 50대 남성(2023/11)
아직 진행 중이긴 하지만
전후 사진을 나란히 놓고 보니
심혈을 기울여 열심히 치료한
보람을 느낍니다.
수술 후 2주 경과

수술 후 2주 경과, 50대 남성(2023/11)
당뇨 때문에
쉽게 치과치료를 하지 못하셨던 분들이 많으실 것 같아
오늘 치료 사례로 가져오게 되었습니다.
보철치료까지 완료가 되면
이어서 포스팅을 진행해 보겠습니다.
이상으로
당뇨로 인한 치아 상실, 임플란트,
상악동 거상술, 즉시 임시치아
수술 사례였습니다.
- 상세 치료 내역 -
전악 스케일링(치주)
치아 발치
뼈 이식
상악동 거상술 치조정접근법
임플란트식립
전, 후 동일 인물이며
2023년 11월~12월경
치료받으신 환자분입니다.
