오래 사용한 틀니 안 맞고 불편하다면, 전체 임플란트
오래 사용한 틀니 안 맞고 불편하다면, 전체 임플란트
안녕하세요.
최소한의 통증으로
치아에 아름다움을 더하는 곳
수완스타치과
이승훈 원장입니다.
오늘의 치료 사례 포스팅은
오랫동안 틀니를 사용하신 환자분께서
전체임플란트 수술을 진행한 사례입니다.
"틀니가 안 맞아서
음식을 못 먹겠어요..
너무 불편해요"
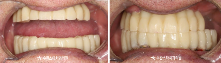
수술 전후 비교 사진, 70대 남성(2024,3월)
오늘 소개해드릴 환자분은
틀니를 10년 가까이 사용하셨어요.
안 맞는 틀니를 오랫동안 착용한다면
잇몸 손상의 원인이 되고
치조골이 점점 흡수되는 단점이 있습니다.
반면에 임플란트는 자연치아 기능의 80~90%까지 수복이 가능하며
씹는 힘이 틀니에 비해
5~7배나 강하고,
잇몸뼈 흡수도 막을 수 있다는
장점이 있습니다!
환자분과 충분한 상담을 통해
전악 임플란트 결정했습니다.

내원 시 엑스레이, 70대 남성(2024,3월)
먼저 엑스레이를 보면,
상악(위쪽 턱뼈) 어금니 같은 경우
상악동(화살표 부분)이 위치하는데
상악동은 동굴같이
비어있는 공간입니다. (뼈가 x)
골폭의 감소가 일어나고
상악동의 공간도 넓어져 있습니다.
이처럼 틀니를 쓴 지 오래된 경우는
뼈가 소실된 부분을 보강하기 위해
치조골 이식을 많이 하는
고난도 수술, 바로 상악동 거상술과
임플란트 수술이 함께 시행되어야 합니다.
상악동 거상술에 대한
자세한 내용은 이전에 포스팅한
"치주염, 발치 후 임플란트
/ 상악동거상술(측방접근법)"을
참고해 주세요^^
뼈 이식 과정, 70대 남성(2024,3월)
잇몸을 절개하여
뼈 이식 재료를
채워 넣어 주는 모습입니다.
해당 자리는
6개월 후에
뼈가 충분히 단단해지면
환자분 케이스처럼
임플란트를 심을 수 있게 됩니다.
상악동 거상술 및 뼈이식을
한 부위를 제외한
나머지 자리에 전체임플란트 식립 후
임시치아까지 세팅하여
마무리하였습니다.


임시치아, 70대 남성(2024,3월)
보통 치아가 없으신 분들께서는
치료가 진행되는 동안
틀니를 쓰시는데
안 맞는 틀니를 10년 동안
사용하셨다고 하는데
드시는데 어려움이
있으셨다고 합니다.
특히 틀니도 불편한데,
임시틀니를 사용하게 되면
더욱 음식을 드시는데
어려움이 있습니다.
치료가 진행되는 10개월 동안
틀니를 쓰시지 않으시고,
환자분께서 편하게 음식을
씹으실 수 있도록
수술 후 3일 이내로
임시치아를 넣어드렸습니다.
수술 전후 비교 사진, 70대 남성(2024,3월)
전악 임플란트 후
미소가 훨씬 자연스러운 게
보이시나요?
치아가 없을 때는
웃는 근육이 활성화 되지 않고,
감추기 위해서
웃는 근육이 완전히 비활성화 됩니다.
치아가 들어가게 되면
자신 있게 웃을 수 있기 때문에
웃는 근육이 다시 활성화 돼서
2주가 지나면 미소가
아주 자연스러운 모습을
공통적으로 볼 수 있습니다.
이처럼 전악 임플란트의 경우
치료 범위가 넓고 시술 난도가 높아
숙련된 의료진의 충분한 경험이
뒷받침되어야 하며,
교합에 대한 이해와 기술력이 필요합니다.
저희 수완스타치과는
많은 케이스를 통해 얻은 노하우와
원내기공소와 긴밀한 협업을 통해
임시틀니를 사용하지 않고
수술 즉시 3일 이내로
임시치아를 넣어드려
씹는데도 불편함 없이
식사하는데도 불편함 없이
도와드리고 있습니다.
긴 글 읽어주셔서 감사합니다.
전후 동일 인물이며,
2024년 3월 경에 본원에서
치료받은 환자분입니다.

안녕하세요.
최소한의 통증으로
치아에 아름다움을 더하는 곳
수완스타치과
이승훈 원장입니다.
오늘의 치료 사례 포스팅은
오랫동안 틀니를 사용하신 환자분께서
전체임플란트 수술을진행한 사례입니다.
"틀니가 안 맞아서
음식을 못 먹겠어요..
너무 불편해요"
수술 전후 비교 사진, 70대 남성(2024,3월)
오늘 소개해드릴 환자분은
틀니를 10년 가까이 사용하셨어요.
안 맞는 틀니를 오랫동안 착용한다면
잇몸 손상의 원인이 되고
치조골이 점점 흡수되는 단점이 있습니다.
반면에 임플란트는 자연치아 기능의 80~90%까지
수복이 가능하며 씹는 힘이 틀니에 비해
5~7배나 강하고,
잇몸뼈 흡수도 막을 수 있다는 장점이 있습니다!
환자분과 충분한 상담을 통해
전악 임플란트 결정했습니다.

내원 시 엑스레이, 70대 남성(2024,3월)
먼저 엑스레이를 보면,
상악(위쪽 턱뼈) 어금니 같은 경우
상악동(화살표 부분)이 위치하는데
상악동은 동굴같이
비어있는 공간입니다. (뼈가 x)
골폭의 감소가 일어나고
상악동의 공간도 넓어져 있습니다.
이처럼 틀니를 쓴 지 오래된 경우는
뼈가 소실된 부분을 보강하기 위해
치조골 이식을 많이 하는
고난도 수술, 바로 상악동 거상술과
임플란트 수술이 함께 시행되어야 합니다.
상악동 거상술에 대한
자세한 내용은 이전에 포스팅한
"치주염, 발치 후 임플란트
/ 상악동거상술(측방접근법)"을
참고해 주세요^^
뼈 이식 과정, 70대 남성(2024,3월)
잇몸을 절개하여
뼈 이식 재료를 채워 넣어 주는 모습입니다.
해당 자리는
6개월 후에
뼈가 충분히 단단해지면
환자분 케이스처럼
임플란트를 심을 수 있게 됩니다.

상악동 거상술 및 뼈이식을
한 부위를 제외한
나머지 자리에 전체임플란트 식립 후
임시치아까지 세팅하여
마무리하였습니다.


임시치아, 70대 남성(2024,3월)
보통 치아가 없으신 분들께서는
치료가 진행되는 동안
틀니를 쓰시는데
안 맞는 틀니를 10년 동안
사용하셨다고 하는데
드시는데 어려움이
있으셨다고 합니다.
특히 틀니도 불편한데,
임시틀니를 사용하게 되면
더욱 음식을 드시는데
어려움이 있습니다.
치료가 진행되는 10개월 동안
틀니를 쓰시지 않으시고,
환자분께서 편하게 음식을
씹으실 수 있도록
수술 후 3일 이내로
임시치아를 넣어드렸습니다.

수술 전후 비교 사진, 70대 남성(2024,3월)
전악 임플란트 후
미소가 훨씬 자연스러운 게
보이시나요?
치아가 없을 때는
웃는 근육이 활성화 되지 않고,
감추기 위해서
웃는 근육이 완전히 비활성화 됩니다.
치아가 들어가게 되면
자신 있게 웃을 수 있기 때문에
웃는 근육이 다시 활성화 돼서
2주가 지나면 미소가
아주 자연스러운 모습을
공통적으로 볼 수 있습니다.
이처럼 전악 임플란트의 경우
치료 범위가 넓고 시술 난도가 높아
숙련된 의료진의 충분한 경험이
뒷받침되어야 하며,
교합에 대한 이해와 기술력이 필요합니다.
저희 수완스타치과는
많은 케이스를 통해 얻은 노하우와
원내기공소와 긴밀한 협업을 통해
임시틀니를 사용하지 않고
수술 즉시 3일 이내로
임시치아를 넣어드려
씹는데도 불편함 없이
식사하는데도 불편함 없이
도와드리고 있습니다.
긴 글 읽어주셔서 감사합니다.
전후 동일 인물이며,
2024년 3월 경에 본원에서
치료받은 환자분입니다.
