틀니 불편함 덜고 임플란트 수술 후 씹는 즐거움을 느꼈어요
틀니 불편함 덜고
임플란트 수술 후 씹는 즐거움을
안녕하세요.
최소한의 통증으로
치아에 아름다움을 더하는 곳
수완스타치과
이승훈 원장입니다.
"틀니 사용한지 6년이 되었는데
너무 불편하네요.
6년 동안
씹는 즐거움을
잊어버렸어요.
친구가
이 치과에서 임플란트를 심고
3일 만에 치아 넣었다고 해서
저도 와봤어요."

수술 전 / 수술 후 (2024.06 촬영)
틀니를 사용한 지
6년이 되었는데,
6년 동안 씹는 즐거움을
잊어버리셨다고 합니다.
또한,
웃을 때나 말할 때
발음도 뭉개지고
구강 문제로 고민이 많으셔서
저희 치과에 내원해주셨습니다.


처음 내원 시 상태, (2024/6월 촬영)
위 환자분은
70대 여성분으로
위에 치아들이
전체적으로 상실되고,
관리가 잘 되지 않은 상태였습니다.
먼저 정밀한 판단을 위해
파노라마 사진을 촬영한 후
사진을 살펴보았습니다.

처음 내원 시 파노라마, (2024/6월 촬영)
내원 시 엑스레이 사진을
살펴본 결과,
전체적으로
잇몸 뼈가 많이 녹고,
치아가 상실된 상태였습니다.
상악의 노란색 선은
상악동의 아래 경계선인데
파란색 잇몸뼈 라인이
거의 맞닿아 있는 모습을
볼 수 있습니다.
잔존 잇몸뼈가
거의 없다는 의미입니다.
상악동 CT, (2024/6월 촬영)
환자분의 상악 CT를 보면,
상악 쪽 잇몸뼈가 소실되어
3mm도 되지 않은 상태를
확인할 수 있습니다.
잔존 뼈가
4mm 이하일 경우에는
측방접근법을 통해
뼈이식을 진행합니다.
환자분께서
뼈가 매우 얇은 상태라
수직이 아닌
측면으로 접근하여
상악동을 들어올리는
‘측방접근법’을 활용해
상악동 거상술을
진행하였습니다.
충분한 상담 후
뼈이식과 임플란트 식립을
동시에 진행하기로
하였습니다.


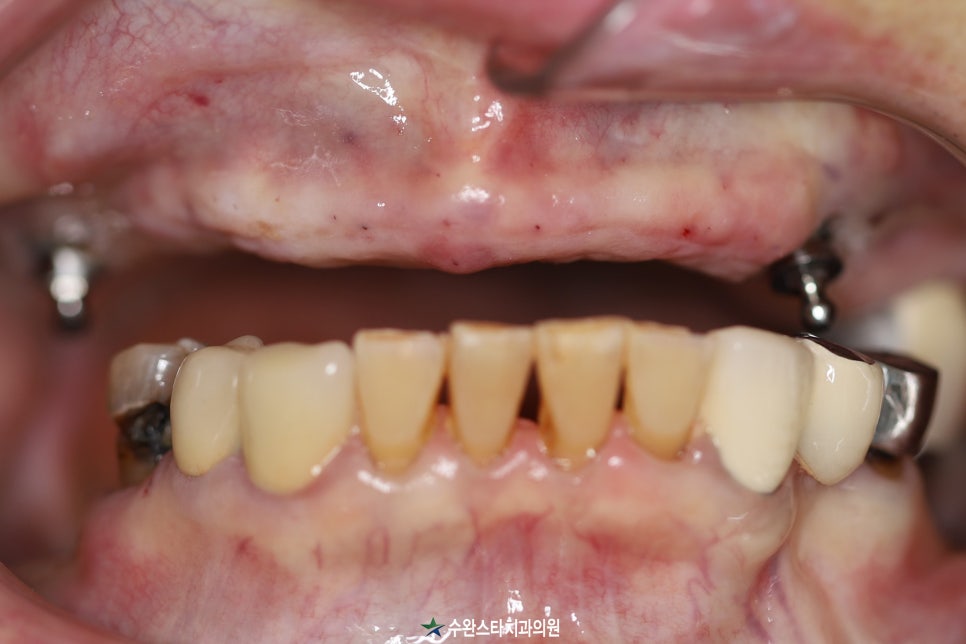
수술 후 3일 경과 임시치아, (2024/6월 촬영)
수술 후 3일 만에
실도 빼기 전에
치아 넣어드렸습니다.
환자분의 상황을 고려 할 때,
뼈 재생에 6개월,
임플란트와 뼈가 결합되는 데
4-5개월이 필요하므로
총 11개월 동안 식사가
어려울 수 있습니다.
이 기간 동안
식사와 일상생활에
불편함을 줄이기 위해
치아의 역할을 대신할
무언가가 필요합니다.
간단한 해결책으로는
임시 틀니를 사용하지만,
많은 환자들이
이에 대한 불편함을 느낍니다.
수완스타치과에서는
보다 편리한 해결책을 제공합니다.
임시 틀니 없이도
환자분이 수술 후 3일 내에
임시치아를 넣어드려
편안하게 식사하고
일상생활을 할 수 있도록 도와드립니다.
수술 전 / 수술 후 (2024/6월 촬영)
수술 후 3일 만에
치아를 넣어드린 덕분에
환자분께서
"6년 동안 치아 때문에
고생이 너무 많았는데
이제는 먹는 것도 수월하고
혀도 안 씹혀서 좋아요.
이렇게 수술 하고 나서
3일 만에 바로 치아를 넣어준다는 게
대단하네요.
너무 감사합니다."
라며 감사의 말씀을 전하셨습니다.
환자분께서
이제 임플란트 수술을 받으신 후로
삶의 질이 크게 향상되었습니다.
임플란트를 심고 3일 만에
임시 치아를 넣어드린 덕분에,
이제는 편안하게 식사하실 수 있고,
다시 씹는 즐거움을 되찾으셨습니다.
더 이상 틀니의 불편함을
겪지 않으시고,
일상생활에서도
큰 만족을 느끼고 계십니다.
추후에 정기검진 받으러 오시기 전에
평소에 스스로 꾸준히
관리를 잘하셔야 된다
독려해드렸고,
어떻게 해야 되는지
케어법을 설명드리며 진료를 마쳤습니다.
현재 건강한 치아와 잇몸을
가졌다 할지라도,
매일 어떻게 관리해 나가느냐에 따라
구강 상태는 달라질 수 있습니다.
건강히 오래 유지될 수 있도록
올바른 양치질, 주기적 정기검진을
계속해서 이어나가시길 바랍니다.
긴 글 읽어주셔서 감사합니다.
전후 동일 인물이며,
2024년 06월 경에 본원에서
치료받은 환자분입니다.

안녕하세요.
최소한의 통증으로
치아에 아름다움을 더하는 곳
수완스타치과
이승훈 원장입니다.
"틀니 사용한지 6년이 되었는데
너무 불편하네요.
6년 동안
씹는 즐거움을
잊어버렸어요.
친구가
이 치과에서 임플란트를 심고
3일 만에 치아 넣었다고 해서
저도 와봤어요."
수술 전 / 수술 후 (2024.06 촬영)
틀니를 사용한 지
6년이 되었는데,
6년 동안 씹는 즐거움을
잊어버리셨다고 합니다.
또한,
웃을 때나 말할 때
발음도 뭉개지고
구강 문제로 고민이 많으셔서
저희 치과에 내원해주셨습니다.


처음 내원 시 상태, (2024/6월 촬영)
위 환자분은
70대 여성분으로
위에 치아들이
전체적으로 상실되고,
관리가 잘 되지 않은 상태였습니다.
먼저 정밀한 판단을 위해
파노라마 사진을 촬영한 후
사진을 살펴보았습니다.

처음 내원 시 파노라마, (2024/6월 촬영)
내원 시 엑스레이 사진을
살펴본 결과,
전체적으로
잇몸 뼈가 많이 녹고,
치아가 상실된 상태였습니다.
상악의 노란색 선은
상악동의 아래 경계선인데
파란색 잇몸뼈 라인이
거의 맞닿아 있는 모습을
볼 수 있습니다.
잔존 잇몸뼈가
거의 없다는 의미입니다.
상악동 CT, (2024/6월 촬영)
환자분의 상악 CT를 보면,
상악 쪽 잇몸뼈가 소실되어
3mm도 되지 않은 상태를
확인할 수 있습니다.
잔존 뼈가
4mm 이하일 경우에는
측방접근법을 통해
뼈이식을 진행합니다.
환자분께서
뼈가 매우 얇은 상태라
수직이 아닌
측면으로 접근하여
상악동을 들어올리는
‘측방접근법’을 활용해
상악동 거상술을
진행하였습니다.
충분한 상담 후
뼈이식과 임플란트 식립을
동시에 진행하기로
하였습니다.


수술 후 3일 경과 임시치아, (2024/6월 촬영)
수술 후 3일 만에
실도 빼기 전에
치아 넣어드렸습니다.
환자분의 상황을 고려 할 때,
뼈 재생에 6개월,
임플란트와 뼈가 결합되는 데
4-5개월이 필요하므로
총 11개월 동안 식사가 어려울 수 있습니다.
이 기간 동안
식사와 일상생활에
불편함을 줄이기 위해
치아의 역할을 대신할
무언가가 필요합니다.
간단한 해결책으로는
임시 틀니를 사용하지만,
많은 환자들이
이에 대한 불편함을 느낍니다.
수완스타치과에서는
보다 편리한 해결책을 제공합니다.
임시 틀니 없이도
환자분이 수술 후 3일 내에
임시치아를 넣어드려
편안하게 식사하고
일상생활을 할 수 있도록 도와드립니다.
수술 전 / 수술 후 (2024/6월 촬영)
수술 후 3일 만에
치아를 넣어드린 덕분에
환자분께서
"6년 동안 치아 때문에
고생이 너무 많았는데
이제는 먹는 것도 수월하고
혀도 안 씹혀서 좋아요.
이렇게 수술 하고 나서
3일 만에 바로 치아를 넣어준다는 게
대단하네요.
너무 감사합니다."
라며 감사의 말씀을 전하셨습니다.
환자분께서
이제 임플란트 수술을 받으신 후로
삶의 질이 크게 향상되었습니다.
임플란트를 심고 3일 만에
임시 치아를 넣어드린 덕분에,
이제는 편안하게 식사하실 수 있고,
다시 씹는 즐거움을 되찾으셨습니다.
더 이상 틀니의 불편함을
겪지 않으시고,
일상생활에서도
큰 만족을 느끼고 계십니다.
추후에 정기검진 받으러 오시기 전에
평소에 스스로 꾸준히
관리를 잘하셔야 된다
독려해드렸고,
어떻게 해야 되는지
케어법을 설명드리며 진료를 마쳤습니다.
현재 건강한 치아와 잇몸을
가졌다 할지라도,
매일 어떻게 관리해 나가느냐에 따라
구강 상태는 달라질 수 있습니다.
건강히 오래 유지될 수 있도록
올바른 양치질, 주기적 정기검진을
계속해서 이어나가시길 바랍니다.
긴 글 읽어주셔서 감사합니다.
전후 동일 인물이며,
2024년 06월 경에 본원에서
치료받은 환자분입니다.
