틀니 그만 쓰고
임플란트로 편하게 밥먹고 싶어요.
안녕하세요.
최소한의 통증으로
치아에 아름다움을 더하는 곳
수완스타치과
이승훈 원장입니다.
"치아에 걸어서 쓰는
틀니를 사용중인데,
식사하기가 너무 불편해요."
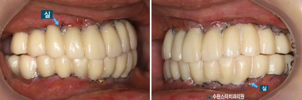
수술 전, 수술 후 3일 경과(60대 여성, 2024.07 촬영)
오늘 내원하신 환자분께서는
오랜 기간 동안
치아에 걸어서 쓰는 틀니를
사용중이셨는데,
식사하는 데 많은 불편함을
겪으셨다고 하셨습니다.
틀니로 인해
식사하기 힘드셨던 환자분,
수술 후 3일 만에
바로 씹을 수 있게
치아를 넣어드린 모습입니다.

처음 내원 시 상태, (60대 여성, 2024.07 촬영)
위 환자분은
양쪽 어금니가
소실되고,
남아있는 치아들의
치주염이 심한 상태였습니다.
먼저 정밀한 판단을 위해
파노라마 사진을 촬영한 후
사진을 살펴보았습니다.
처음 내원 시 파노라마 (60대 여성, 2024.07 촬영)
내원 시 엑스레이 사진을
살펴본 결과,
전체적으로
잇몸 뼈가 많이 녹아
어금니는 상실되었고
남아있는 치아들은
많이 흔들리는 상태였습니다.
상악의 노란색 선은
상악동의 아래 경계선인데
주황색 잇몸뼈 라인이
거의 맞닿아 있는 모습을
볼 수 있습니다.
잔존 잇몸뼈가
거의 없다는 의미입니다.
상악동 CT (60대 여성, 2024.07 촬영)
3차원 CT 분석을 통해
임플란트 식립 위치와 길이를
정밀하게 분석한 결과,
임플란트가
안정적으로 자리 잡기 위해서는
최소 7~10mm의 잔존 뼈가
있어야 합니다.
그러나
환자의 치조골은
단, 1.77mm로
매우 부족한 상태였습니다.
따라서 상악동거상술을 통해
뼈 이식을 하면서
동시에 임플란트 식립을
진행하기로 하였습니다.


수술 후 3일 만에
치아 넣어드렸습니다.

뼈를 만드는 기간 6개월,
임플란트와 뼈가 붙는 데
4-5개월이 소요되므로,
총 11개월 동안 식사에
어려움이 있을 수 있습니다.
일반적으로 임시 틀니를
사용할 수 있지만,
임시틀니를 사용하면
이물감으로 인해
환자분들이 적응하지 못하고
불편함을 겪는 경우가 많습니다.
저희 수완스타치과에서
불편한 임시 틀니 대신,
환자분이 편안하게 식사하고
사회생활을 이어갈 수 있도록
수술 후 3일 이내에
임시 치아를 넣어드려
식사와 사회생활에
불편함이 없도록
돕고 있으며,
환자분이 치료 기간 동안에도
최대한 편안하게 지내실 수 있도록
최선을 다하고 있습니다.
수술 전, 수술 후 3일 경과(60대 여성, 2024.07 촬영)
수술 후 3일 만에
치아를 넣어드린 덕분에
환자분께서
"틀니를 오랫동안
걸어서 쓰느라
식사도 못 하고 불편했어요.
그런데 수술 후 3일 만에
바로 치아를 넣어주셔서
식사를 할 수 있게 되어
너무 좋네요."
라며
감사의 말씀을 전하셨습니다.
환자분께서
임플란트 수술을 받으신 후로
삶의 질이 크게 향상되었습니다.
임플란트를 심고 3일 만에
임시 치아를 넣어드린 덕분에,
이제는 편안하게 식사하실 수 있고,
다시 씹는 즐거움을 되찾으셨습니다.
더 이상 틀니의 불편함을
겪지 않으시고,
일상생활에서도
큰 만족을 느끼고 계십니다.
추후에 정기검진 받으러 오시기 전에
평소에 스스로 꾸준히
관리를 잘하셔야 된다
독려해드렸고,
어떻게 해야 되는지
케어법을 설명드리며 진료를 마쳤습니다.
현재 건강한 치아와 잇몸을
가졌다 할지라도,
매일 어떻게 관리해 나가느냐에 따라
구강 상태는 달라질 수 있습니다.
건강히 오래 유지될 수 있도록
올바른 양치질, 주기적 정기검진을
계속해서 이어나가시길 바랍니다.
긴 글 읽어주셔서 감사합니다.
전후 동일 인물이며,
2024년 07월 경에 본원에서
치료받은 환자분입니다.

틀니 그만 쓰고 임플란트로 편하게 밥먹고 싶어요.
안녕하세요.
최소한의 통증으로
치아에 아름다움을 더하는 곳
수완스타치과
이승훈 원장입니다.
"치아에 걸어서 쓰는
틀니를 사용중인데,
식사하기가 너무 불편해요."

수술 전, 수술 후 3일 경과(60대 여성, 2024.07 촬영)
오늘 내원하신 환자분께서는
오랜 기간 동안
치아에 걸어서 쓰는 틀니를
사용중이셨는데,
식사하는 데 많은 불편함을
겪으셨다고 하셨습니다.
틀니로 인해
식사하기 힘드셨던 환자분,
수술 후 3일 만에
바로 씹을 수 있게
치아를 넣어드린 모습입니다.

처음 내원 시 상태, (60대 여성, 2024.07 촬영)
위 환자분은
양쪽 어금니가
소실되고,
남아있는 치아들의
치주염이 심한 상태였습니다.
먼저 정밀한 판단을 위해
파노라마 사진을 촬영한 후
사진을 살펴보았습니다.
처음 내원 시 파노라마 (60대 여성, 2024.07 촬영)
내원 시 엑스레이 사진을
살펴본 결과,
전체적으로
잇몸 뼈가 많이 녹아
어금니는 상실되었고
남아있는 치아들은
많이 흔들리는 상태였습니다.
상악의 노란색 선은
상악동의 아래 경계선인데
주황색 잇몸뼈 라인이
거의 맞닿아 있는 모습을
볼 수 있습니다.
잔존 잇몸뼈가
거의 없다는 의미입니다.
상악동 CT (60대 여성, 2024.07 촬영)
3차원 CT 분석을 통해
임플란트 식립 위치와 길이를
정밀하게 분석한 결과,
임플란트가
안정적으로 자리 잡기 위해서는
최소 7~10mm의 잔존 뼈가
있어야 합니다.
그러나
환자의 치조골은
단, 1.77mm로
매우 부족한 상태였습니다.
따라서 상악동거상술을 통해
뼈 이식을 하면서
동시에 임플란트 식립을
진행하기로 하였습니다.


수술 후 3일 경과 임시치아 (60대 여성, 2024/7월 촬영)
수술 후 3일 만에
치아 넣어드렸습니다.
전체 임플란트 수술 전 / 수술 후 (60대 여성, 2024.07 촬영)뼈를 만드는 기간 6개월,
임플란트와 뼈가 붙는 데
4-5개월이 소요되므로,
총 11개월 동안 식사에
어려움이 있을 수 있습니다.
일반적으로 임시 틀니를
사용할 수 있지만,
임시틀니를 사용하면
이물감으로 인해
환자분들이 적응하지 못하고
불편함을 겪는 경우가 많습니다.
저희 수완스타치과에서
불편한 임시 틀니 대신,
환자분이 편안하게 식사하고
사회생활을 이어갈 수 있도록
수술 후 3일 이내에
임시 치아를 넣어드려
식사와 사회생활에
불편함이 없도록
돕고 있으며,
환자분이 치료 기간 동안에도
최대한 편안하게 지내실 수 있도록
최선을 다하고 있습니다.
수술 전, 수술 후 3일 경과(60대 여성, 2024.07 촬영)
수술 후 3일 만에
치아를 넣어드린 덕분에
환자분께서
"틀니를 오랫동안
걸어서 쓰느라
식사도 못 하고 불편했어요.
그런데 수술 후 3일 만에
바로 치아를 넣어주셔서
식사를 할 수 있게 되어
너무 좋네요."
라며
감사의 말씀을 전하셨습니다.
환자분께서
임플란트 수술을 받으신 후로
삶의 질이 크게 향상되었습니다.
임플란트를 심고 3일 만에
임시 치아를 넣어드린 덕분에,
이제는 편안하게 식사하실 수 있고,
다시 씹는 즐거움을 되찾으셨습니다.
더 이상 틀니의 불편함을
겪지 않으시고,
일상생활에서도
큰 만족을 느끼고 계십니다.
추후에 정기검진 받으러 오시기 전에
평소에 스스로 꾸준히
관리를 잘하셔야 된다
독려해드렸고,
어떻게 해야 되는지
케어법을 설명드리며 진료를 마쳤습니다.
현재 건강한 치아와 잇몸을
가졌다 할지라도,
매일 어떻게 관리해 나가느냐에 따라
구강 상태는 달라질 수 있습니다.
건강히 오래 유지될 수 있도록
올바른 양치질, 주기적 정기검진을
계속해서 이어나가시길 바랍니다.
긴 글 읽어주셔서 감사합니다.
전후 동일 인물이며,
2024년 07월 경에 본원에서 치료받은 환자분입니다.
