여기 치과를 알게 되어 정말 다행이에요.
[전악 임플란트]
여기 치과를 알게 되어 정말 다행이에요.
[전악 임플란트]
안녕하세요.
최소한의 통증으로
치아에 아름다움을 더하는 곳
수완스타치과
이승훈 원장입니다.

수술 전 / 수술 후 3일, 60대 여성 (2024.12 촬영)
"걸어 쓰는 틀니 쓰고 있는데
너무 불편해요.
잇몸뼈는 다 녹아서
뿌리까지 보이고 ...
입안이 많이 아파요."
오늘 소개해 드릴 환자분은
걸어 쓰는 틀니를 사용하고 계시다가
잇몸이 아프고
틀니도 너무 불편해서
임플란트를 하기 위해 내원해 주신
60대 여성 환자분입니다.
처음 내원 시 상태

내원 시 환자분 상태를 보면
잇몸뼈가 녹아
치아 뿌리가
보이는 상태였습니다.
하악은 걸어 쓰는 틀니를
사용 중이셨고,
틀니의 압력 때문에
불편함이 매우 크셨다고
토로하셨습니다.

처음 내원 시 파노라마, 60대 여성 (2024.12 촬영)
내원 시
파노라마를 살펴보면
다수의 치아가
상실되어 있으며
잇몸뼈가 녹아
치아 뿌리가
노출된 상태였습니다.
처음 내원 시 파노라마 상악동, 잇몸뼈 라인, 60대 여성 (2024.12 촬영)
양쪽 위 어금니가 없어
식사하기도
너무 불편하다고
말씀해 주셨습니다.


처음 내원 시 CT, 60대 여성 (2024.12 촬영)
상악 잔존 잇몸뼈를
CT 상으로 분석한 결과,
잔존 뼈 세로의 길이가
약 1.98mm, 1.52mm로
측정되었습니다.
임플란트가
안정적으로 자리 잡기 위해선
잔존 뼈가 최소 7~10mm는
있어야 합니다.
뼈가 3mm 이하 일 경우에는
측방 접근법으로
상악동 거상술을 진행하여
임플란트가 안정적으로
식립될 수 있도록
수술을 진행해야 합니다.
따라서 상악동 거상술
측방 접근법을 통해
뼈 이식을 하면서
동시에 임플란트 식립을
진행하기로 하였습니다.
발치
.jpg?type=w966)

발치한 치아, 60대 여성 (2024.12 촬영)
임플란트를 위해
발치한 치아의 사진입니다.
크라운을 씌운 곳 아래로
치아 뿌리에
치석이 쌓인 모습이 보입니다.
이 치석이 쌓여
잇몸뼈를 녹이게 된 겁니다.
임시치아 (수술 후 3일 경과)


임시치아 구강 내부, 60대 여성 (2024.12 촬영)
환자분의 원활한 식사를 위해
실도 빼기 전인
수술 후 3일 만에
치아 넣어드렸습니다.
위 환자분의 경우
뼈 재생에 6개월,
임플란트와 뼈가 결합되는데
4-5개월이 필요하므로
총 11개월 동안 식사가 어려울 수 있습니다.
이 기간 동안
원활한 식사와
사회생활을 위해
치아 역할을 할
무언가가 필요합니다.
간단한 해결책으로는
치료 기간 동안 임시 틀니를
사용하는 것입니다.
그러나 많은 환자분들이
임시 틀니 사용 시
불편함을 호소해왔습니다.
이러한 문제를 해결하기 위해
저희 수완스타치과는
불편한 임시 틀니 없이도
환자분이 편안하게 식사하고
사회생활을 할 수 있도록
수술 후 3일 만에
임시치아를 넣어드리고 있습니다.
임시치아 전 후 미소 비교

수술 전 / 수술 후 3일, 60대 여성 (2024.12 촬영)
환자분께서
"몇 년 동안 틀니 때문에
너무 불편했는데
이렇게 3일 만에
편해질 줄 몰랐어요.
수완스타치과를 알게 되어
정말 다행이에요."
라며 감사의 말씀을
남겨주셨습니다.
저 또한 이렇게 환자분께서
스스로 만족하실 때
가장 뿌듯함을 느낍니다.
저희 수완스타치과는
환자분들의 불편함을
최소화하기 위해
항상 노력하고 있습니다.
많은 경험을 쌓은 의료진들이
과잉진료 없이 정직하게
진료하는 곳입니다.
치아에 대한 고민이 있거나
궁금하신 점이 있다면
언제든 문의해 주세요.
긴 글 읽어주셔서 감사합니다.
전후 동일 인물이며,
2024년 12월 경에 본원에서
치료받은 환자분입니다.

안녕하세요.
최소한의 통증으로
치아에 아름다움을 더하는 곳
수완스타치과
이승훈 원장입니다.

수술 전 / 수술 후 3일, 60대 여성 (2024.12 촬영)
"걸어 쓰는 틀니 쓰고 있는데
너무 불편해요.
잇몸뼈는 다 녹아서
뿌리까지 보이고 ...
입안이 많이 아파요."
오늘 소개해 드릴 환자분은
걸어 쓰는 틀니를 사용하고 계시다가
잇몸이 아프고
틀니도 너무 불편해서
임플란트를 하기 위해 내원해 주신
60대 여성 환자분입니다.
처음 내원 시 상태

내원 시 환자분 상태를 보면
잇몸뼈가 녹아
치아 뿌리가
보이는 상태였습니다.
하악은 걸어 쓰는 틀니를
사용 중이셨고,
틀니의 압력 때문에
불편함이 매우 크셨다고
토로하셨습니다.

처음 내원 시 파노라마, 60대 여성 (2024.12 촬영)
내원 시
파노라마를 살펴보면
다수의 치아가
상실되어 있으며
잇몸뼈가 녹아
치아 뿌리가
노출된 상태였습니다.

처음 내원 시 파노라마 상악동, 잇몸뼈라인, 60대 여성 (2024.12 촬영)
양쪽 위 어금니가 없어
식사하기도
너무 불편하다고
말씀해 주셨습니다.

처음 내원 시 CT, 60대 여성 (2024.12 촬영)
상악 잔존 잇몸뼈를
CT 상으로 분석한 결과,
잔존 뼈 세로의 길이가
약 1.98mm, 1.52mm로
측정되었습니다.
임플란트가
안정적으로 자리 잡기 위해선
잔존 뼈가 최소 7~10mm는
있어야 합니다.
뼈가 3mm 이하 일 경우에는
측방 접근법으로
상악동 거상술을 진행하여
임플란트가 안정적으로
식립될 수 있도록
수술을 진행해야 합니다.
따라서 상악동 거상술
측방 접근법을 통해
뼈 이식을 하면서
동시에 임플란트 식립을
진행하기로 하였습니다.
발치
.jpg?type=w966)

발치한 치아, 60대 여성 (2024.12 촬영)
임플란트를 위해
발치한 치아의 사진입니다.
크라운을 씌운 곳 아래로
치아 뿌리에
치석이 쌓인 모습이 보입니다.
이 치석이 쌓여
잇몸뼈를 녹이게 된 겁니다.
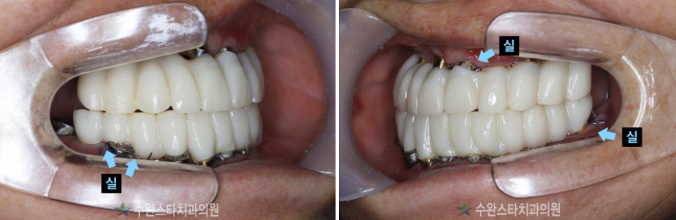
임시치아 (수술 후 3일 경과)


임시치아 구강 내부, 60대 여성 (2024.12 촬영)
환자분의 원활한 식사를 위해
실도 빼기 전인
수술 후 3일 만에
치아 넣어드렸습니다.
위 환자분의 경우
뼈 재생에 6개월,
임플란트와 뼈가 결합되는데
4-5개월이 필요하므로
총 11개월 동안 식사가
어려울 수 있습니다.
이 기간 동안
원활한 식사와
사회생활을 위해
치아 역할을 할
무언가가 필요합니다.
간단한 해결책으로는
치료 기간 동안 임시 틀니를
사용하는 것입니다.
그러나 많은 환자분들이
임시 틀니 사용 시
불편함을 호소해왔습니다.
이러한 문제를 해결하기 위해
저희 수완스타치과는
불편한 임시 틀니 없이도
환자분이 편안하게 식사하고
사회생활을 할 수 있도록
수술 후 3일 만에
임시치아를 넣어드리고 있습니다.
임시치아 전후 미소 비교

수술 전 / 수술 후 3일, 60대 여성 (2024.12 촬영)
환자분께서
"몇 년 동안 틀니 때문에
너무 불편했는데
이렇게 3일 만에
편해질 줄 몰랐어요.
수완스타치과를 알게 되어
정말 다행이에요."
라며 감사의 말씀을
남겨주셨습니다.
저 또한 이렇게 환자분께서
스스로 만족하실 때
가장 뿌듯함을 느낍니다.
저희 수완스타치과는
환자분들의 불편함을
최소화하기 위해
항상 노력하고 있습니다.
많은 경험을 쌓은 의료진들이
과잉진료 없이 정직하게
진료하는 곳입니다.
치아에 대한 고민이 있거나
궁금하신 점이 있다면
언제든 문의해 주세요.
긴 글 읽어주셔서 감사합니다.
전후 동일 인물이며,
2024년 12월 경에 본원에서
치료받은 환자분입니다.
