앞니 임플란트 치조골 이식
(잇몸 뼈 이식)
안녕하세요.
수완스타치과 원장 이승훈입니다.
이번 포스팅은
20대 여성 환자분으로
타치과에서 임플란트가
어렵다는 말을 듣고
내원해주신 환자분이셨습니다.
"잇몸뼈가 약하고 부족해요"
앞니 임플란트 수술 중에서도
잇몸뼈(치조골)가 부족한 상태에서
치조골 이식술을 동반한
임플란트 수술 사례입니다.
*치조골 이식술이란
말 그대로 잇몸뼈가 부족한 부위를
추가 잇몸뼈로 채워주는 술식입니다.
내원 시 상태
내원 시 엑스레이 (20대 여성, 23.5 촬영)
내원 시 엑스레이 (20대 여성, 23.5 촬영)
수술하기에 앞서
엑스레이에 표시된 부분을 보면
치아가 빠진지 오래돼서
잇몸뼈가 많이 없는 모습이에요.

내원 시 엑스레이 (20대 여성, 23.5 촬영)
게다가 뼈의 폭이 좁아
이럴 경우 임플란트를 심기가 힘듭니다.
임플란트 수술 시에 가장 중요한 것이
바로 임플란트를 심을
'잇몸뼈'라고 할 수 있습니다.
잇몸뼈가 충분하고 상태가 좋아야
임플란트를 단단하게 잡아주어
수술의 성공률과 예후를 좋게 만들어줍니다.

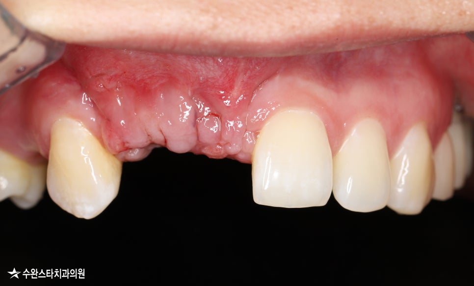
수술 전 구강내부 (20대 여성, 2023.5 촬영)
한눈에 보기에도 수술할 부위의
잇몸뼈가 많이 부족해 보여요.
수술 과정

수술 전 구강내부 (20대 여성, 2023.5 촬영)
잇몸을 열어 임플란트를 심었습니다.
원래는 뼈로 둘러싸여 있어야 할
임플란트가 뼈 부족으로 인해
훤히 다 보이고 있습니다.
뼈 이식을 해줘야 할 이유가 보이시죠?
이때 사용되는 뼈에도
재료에 따라 여러 종류가 존재합니다.


뼈 이식 재료 (2023.5 촬영)
자가골, 동종골, 이종골, 합성골 등
다양한 뼈 이식 충전재들이 있습니다.
1. 자가골: 본인의 뼈
(뼈 이식재로는
제일 효율적이고 우수한 재료)
2. 동종골: 사람뼈
3. 이종골: 동물의 뼈를
활용하여 만든 이식 재료
4.합성골: 화학적으로 합성해
만든 이식 재료
각 재료마다의 장점이 있어
혼합해서 사용하면 아주 좋습니다.
환자분 뼈가 워낙 안 좋아서
골의 재생 능력이 잘 이루어지도록
자가골과 동종골, 합성골을 섞어
복합 이식을 하였습니다.
혼합한 뼈이식 재료들은 모두
시간이 지나며 흡수가 되면
내 진짜 뼈로 치환되는
이식재들이기 때문에
(이종골은 흡수 안됨)
임플란트를 단단하게
잘 고정시켜줍니다.
(흡수를 고려하여
좀 더 많이 채워주었습니다.)

뼈이식재를 충전한 후
구멍이 뚫린 막으로 덮어주는데
바로 티타늄 멤브레인입니다.
티타늄 멤브레인을 쓰는 이유는
충전해 놓은 재료가 움직이지 않도록
고정시키기 위함인데요.
수직 증대를 할 경우
뼈이식재를 단단히 잡아주고
그 상태를 유지해야
뼈가 생성되기 때문입니다.

수술 후 구강 내부 (20대 여성, 2023.5 촬영)
일주일 후에 실을 제거한 사진입니다.
잇몸이 많이 올라온 모습이에요.
수술 전후 비교 (20대 여성, 2023.5 촬영)
비교해 보니 차이가 느껴지시나요?
이제 치조골이 형성되고
임플란트와 유착이 되는 기간을 거친 후
보철을 진행하게 됩니다.
이상 잇몸뼈가 약하고 부족한 경우
치조골 이식술을 동반한
임플란트 수술 사례였습니다.
전후 동일 인물이며,
2023년 5월 경에 본원에서
치료받은 환자분입니다.

앞니 임플란트 치조골 이식 (잇몸 뼈 이식)
안녕하세요.
수완스타치과 원장 이승훈입니다.
이번 포스팅은
20대 여성 환자분으로
타치과에서 임플란트가 어렵다는 말을 듣고
내원해주신 환자분이셨습니다.
"잇몸뼈가 약하고 부족해요"
앞니 임플란트 수술 중에서도
잇몸뼈(치조골)가 부족한 상태에서
치조골 이식술을 동반한 임플란트 수술 사례입니다.
*치조골 이식술이란
말 그대로 잇몸뼈가 부족한 부위를
추가 잇몸뼈로 채워주는 술식입니다.
내원 시 상태

내원 시 엑스레이 (20대 여성, 23.5 촬영)
내원 시 엑스레이 (20대 여성, 23.5 촬영)
수술하기에 앞서 엑스레이에 표시된 부분을 보면
치아가 빠진지 오래돼서 잇몸뼈가 많이 없는 모습이에요.

내원 시 엑스레이 (20대 여성, 23.5 촬영)
게다가 뼈의 폭이 좁아
이럴 경우 임플란트를 심기가 힘듭니다.
임플란트 수술 시에 가장 중요한 것이
바로 임플란트를 심을
'잇몸뼈'라고 할 수 있습니다.
잇몸뼈가 충분하고 상태가 좋아야
임플란트를 단단하게 잡아주어
수술의 성공률과 예후를 좋게 만들어줍니다.
수술 전 구강내부 (20대 여성, 2023.5 촬영)
한눈에 보기에도 수술할 부위의
잇몸뼈가 많이 부족해 보여요

수술 과정

수술 전 구강내부 (20대 여성, 2023.5 촬영)
잇몸을 열어 임플란트를 심었습니다.
원래는 뼈로 둘러싸여 있어야할 임플란트가
뼈 부족으로 인해 훤히 다 보이고 있습니다.
뼈이식을 해줘야할 이유가 보이시죠?
이때 사용되는 뼈에도 재료에 따라 여러 종류가 존재합니다.



뼈 이식 재료 (2023.5 촬영)
자가골, 동종골, 이종골, 합성골 등
다양한 뼈 이식 충전재들이 있습니다.
1. 자가골: 본인의 뼈
(뼈 이식재로는 제일 효율적이고 우수한 재료)
2. 동종골: 사람뼈
3. 이종골: 동물의 뼈를 활용하여 만든 이식 재료
4.합성골: 화학적으로 합성해서 만든 이식 재료
각 재료마다의 장점이 있어
혼합해서 사용하면 아주 좋습니다.
환자분 뼈가 워낙 안 좋아서
골의 재생 능력이 잘 이루어지도록
자가골과 동종골, 합성골을 섞어 복합 이식을 하였습니다.
혼합한 뼈이식 재료들은 모두
시간이 지나며 흡수가 되면서 내 진짜 뼈로 치환되는
이식재들이기 때문에 (이종골은 흡수 안됨)
임플란트를 단단하게 잘 고정시켜줍니다.
(흡수를 고려하여 좀 더 많이 채워주었습니다.)
티타늄 멤브레인(화살표) (20대 여성, 2023.5 촬영)
뼈이식재를 충전한 후
구멍이 뚫린 막으로 덮어주는데
바로 티타늄 멤브레인입니다.
티타늄 멤브레인을 쓰는 이유는
충전해 놓은 재료가 움직이지 않도록
고정시키기 위함인데요.
수직 증대를 할 경우
뼈이식재를 단단히 잡아주고
그 상태를 유지해야 뼈가 생성되기 때문입니다.

수술 후 구강 내부 (20대 여성, 2023.5 촬영)
일주일 후에 실을 제거한 사진입니다.
잇몸이 많이 올라온 모습이에요.
수술 전후 비교 (20대 여성, 2023.5 촬영)
비교해 보니 차이가 느껴지시나요?
이제 치조골이 형성되고
임플란트와 유착이 되는 기간을 거친 후
보철을 진행하게 됩니다.
이상 잇몸뼈가 약하고 부족한 경우
치조골 이식술을 동반한 임플란트 수술 사례였습니다.
전후 동일 인물이며,
2023년 5월 경에 본원에서
치료받은 환자분입니다.
